Rosetta(DE3)感受态细胞(CB108)
适合含稀有密码子的真核基因表达的感受态细胞
未备注医疗备案号的产品均未获得医疗器械注册证,不可用于临床诊断或治疗,仅可用于工业或者科研领域非医疗目的用途。
| 目录号 | 规格 | 目录价 |
| CB108-02 | 10×100 µl | 280元 |
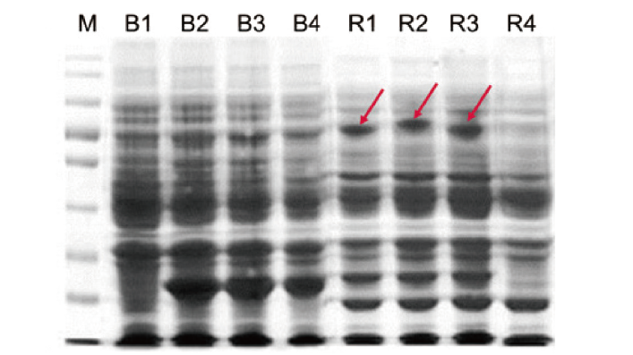
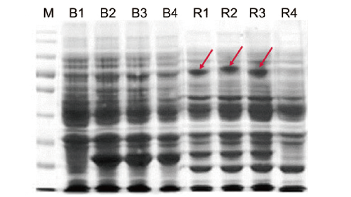
Rosetta 感受态由 BL21 衍生而来,通过相容性氯霉素抗性质粒补充了表达大肠杆菌缺乏的 6 种稀有密码子(AUA, AGG, AGA, CUA, CCC, GGA)tRNA 的基因,避免了真核基因中大肠杆菌稀有密码子的高使用频率所导致的表达限制。本产品采用进口大肠杆菌,经特殊工艺制备,可用于 DNA 的化学转化,转化效率可达 107 cfu/μg DNA,菌株具有氯霉素抗性。
基因型: F- ompT hsdSB(r-B m-B)gal dcm(DE3) pRARE(argU,argW,ilex,glyT,leuW,proL)(Camr)
■ 整合大肠肝菌缺乏的6种密码子tRNA基因,更适合真核基因的表达
■ 适合非毒性蛋白的表达(毒性蛋白请选择 BL21(DE3)plysS感受态细胞 CB106)
感受态细胞应保存在-90~-65℃,不可冻融和放置时间过长,以避免降低感受态细胞的转化效率。
进行转化操作时,应根据相应温度及无菌条件的要求进行。
为防止转化实验不成功,可以保留部分连接反应液,以重新转化,降低损失。
适用于含有稀有密码子的基因表达
-
Sort by
-
Date
Date(
)
Date
Date(
)
Impact Factor
IF(
)
Impact Factor
IF(
)

